O tratamento ortodôntico que você sempre quis está aqui!
Alinhar seu sorriso nunca foi tão fácil e discreto! Os alinhadores Invisalign oferecem uma solução moderna para quem deseja corrigir os dentes sem abrir mão do conforto...
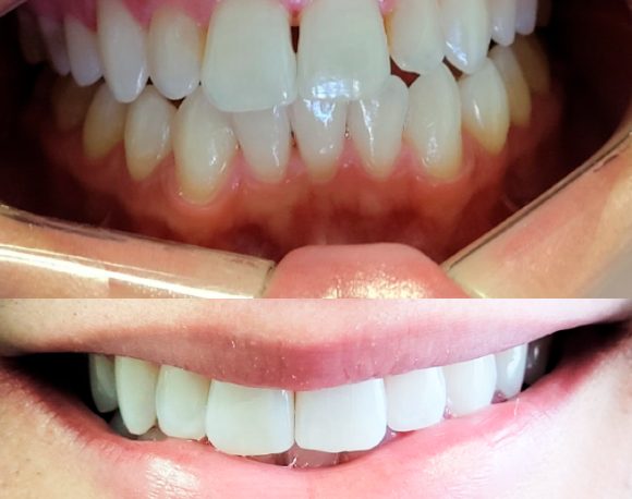
Clareamento e reanatomização do sorriso
Clareamento + Reanatomização do sorriso Quando o desejo de transformar o sorriso encontra o cuidado certo, o resultado é simplesmente surpreendente! Nosso paciente chegou à Rara Odontologia...
Invista na sua saúde bucal e desfrute dos benefícios
Um sorriso saudável transforma tudo! Mais do que estética, cuidar da saúde bucal é investir em qualidade de vida, bem-estar e autoestima. Na RARA Odontologia, cada atendimento...
Antes e Depois tratamento estético
TRANSFORMAÇÃO DE SORRISO João Pedro chegou à Rara Odontologia em maio de 2023 com um desejo: transformar o sorriso. Na época, fez uma resina nos dentes da...
Se está tudo bem não precisa ir ao dentista, certo? ERRADO!
Você sabia? A ausência de dor ou incômodo não significa que está tudo certo com sua saúde bucal! Cáries silenciosas, problemas gengivais e outras condições podem evoluir...





