Clareamento + Reanatomização do sorriso
Quando o desejo de transformar o sorriso encontra o cuidado certo, o resultado é simplesmente surpreendente!
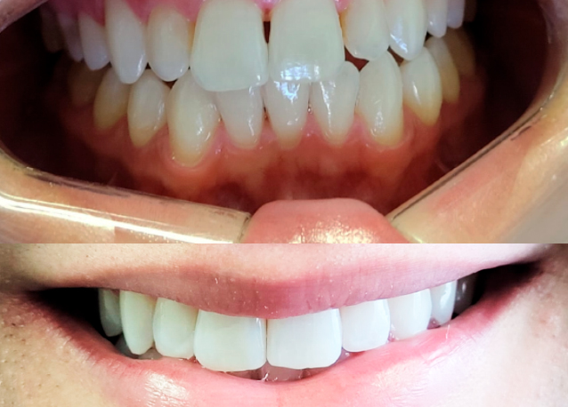
Nosso paciente chegou à Rara Odontologia em busca de um sorriso mais harmônico e iluminado. Após um planejamento individualizado, realizamos o clareamento dental e a reanatomização dos dentes anteriores — devolvendo estética, equilíbrio e autoestima.
O resultado? Um sorriso natural, alinhado e cheio de confiança!
Gostou dessa transformação?
Se você também sonha com um sorriso assim, fale com a gente!
Agende seu check-up!
(31) 3594-4686 | WhatsApp: (31) 98769-6452
Av. Edméia Matos Lazzarotti, 2794 – Ingá, Betim/MG

